Warning: Undefined array key "options" in /srv/users/expertimplants/apps/expertimplants/public/wp-content/plugins/elementor-pro/modules/theme-builder/widgets/site-logo.php on line 123
Dental Implants & Missing Teeth | Expert Implants

Smilemakers is Rated 5/5 on Google ⭐️⭐️⭐️⭐️⭐️

Dental Implants & Missing Teeth

Do you have a failing tooth, an unsightly gap or issues with a denture? Contact us today for a free-of-charge consultation with our expert, friendly Implantologist.

The Treatment Journey

The Consultation

Part of the consultation will involve answering questions about your medical history, your lifestyle and habits, as well as how you would like your smile to look after treatment. Factors like your oral health and jawbone density will also be taken into account. X-rays and photographs will be taken of your teeth and mouth and you will also have a detailed dental examination. This will give the team a good idea of your current oral health and which treatment will give you the best results.

This initial consultation is a good opportunity for you to ask any questions that you might have about the treatment and to discuss your preference for sedation. Based on the current state of your teeth, you may need to receive a few treatments from the hygienist in preparation for the implants.

Choosing to have implant treatment is a big decision and something worth discussing with your loved ones. For this reason, you will be sent a treatment plan after the consultation with a breakdown of the costs so you can look this over and consider the options presented.

Contact us today or explore our FAQs if you have any questions about replacing missing teeth. You can also find full clarity regarding our pricing within our fee guide.

Treatment Planning

The key to successful dental implant treatment is thorough treatment planning.

At our dental implant Southampton clinic, this will often start with an informal chat about what you would like from your treatment. At this point, an estimate can be made of the costs and time involved in providing any dental implant treatment.

Following the informal discussion, a full implant assessment is recommended. This stage is vital in assessing any factors that may impact dental impact treatment and usually includes photographs, impressions, x-rays and 3-dimensional scanning. There is usually a cost associated with this planning stage, although any cost will be deducted from the final cost of the implant treatment.

It is important to address any pre-existing dental conditions before starting dental implant treatment. Any cavities or gum disease need to be treated to ensure that the implants have the greatest chance of long-term success.

The implant success rates achieved at Expert Implants are testimony to the effectiveness of our bespoke treatment planning process.

Implant Placement

Some of the biggest misconceptions concerning dental implant treatment concerns how the implant is placed. The placement process is simplified by the extensive planning undertaken beforehand, and the skill of the placing surgeon.

Under a local anaesthetic (similar to that required for a dental filling), an incision is made in the gum, and a channel gently prepared in the jawbone. The implant is carefully placed in this prepared space, and the gum is closed using self-dissolving stitches.

At our dental implant Southampton clinic, we specialise in immediate implant placement, whereby the failing tooth is removed and the implant placed at the same appointment. This results in less discomfort, and faster and more aesthetic results.

The entire process is remarkably quiet and pain-free, utilising the latest in specialist implant equipment.

Implant Restoration

One of the numerous benefits of carefully planning dental implant treatment is that the restoration of the implant becomes a relatively simple process.

Impressions will be taken and the final restoration will be attached to the implant directly via a special screw, or by cementing the restoration onto a linking section (Abutment) which is itself screwed into the implant.

Single or Multiple Dental Implants

Aftercare

Aftercare is an important part of the dental implants process and it is important to realise that if implants are poorly cared for, they will develop a covering of hard and soft deposits (calculus and plaque) which is very similar to that found on neglected natural teeth. Untreated, these deposits can lead to gum disease which can ultimately lead to failure of the implant.

For most implant-supported teeth you will be able to clean around each supporting implant by brushing and flossing in just the same way that you would around natural teeth and tooth-supported bridges. In some areas, special floss, interdental toothbrushes and other cleaning aids may be needed to maintain good oral hygiene. Cleaning is not at all difficult, provided that you do not have impaired use of your hands.

It is reasonable to expect some of the daily hygiene procedures to be a little more complex than around your original teeth – equally, expect to spend more time than you may have done in the past if you wish to maintain optimum implant health.

Regular visits to the Hygienist for professional cleaning is strongly recommended and will help your implants hopefully last a lifetime.

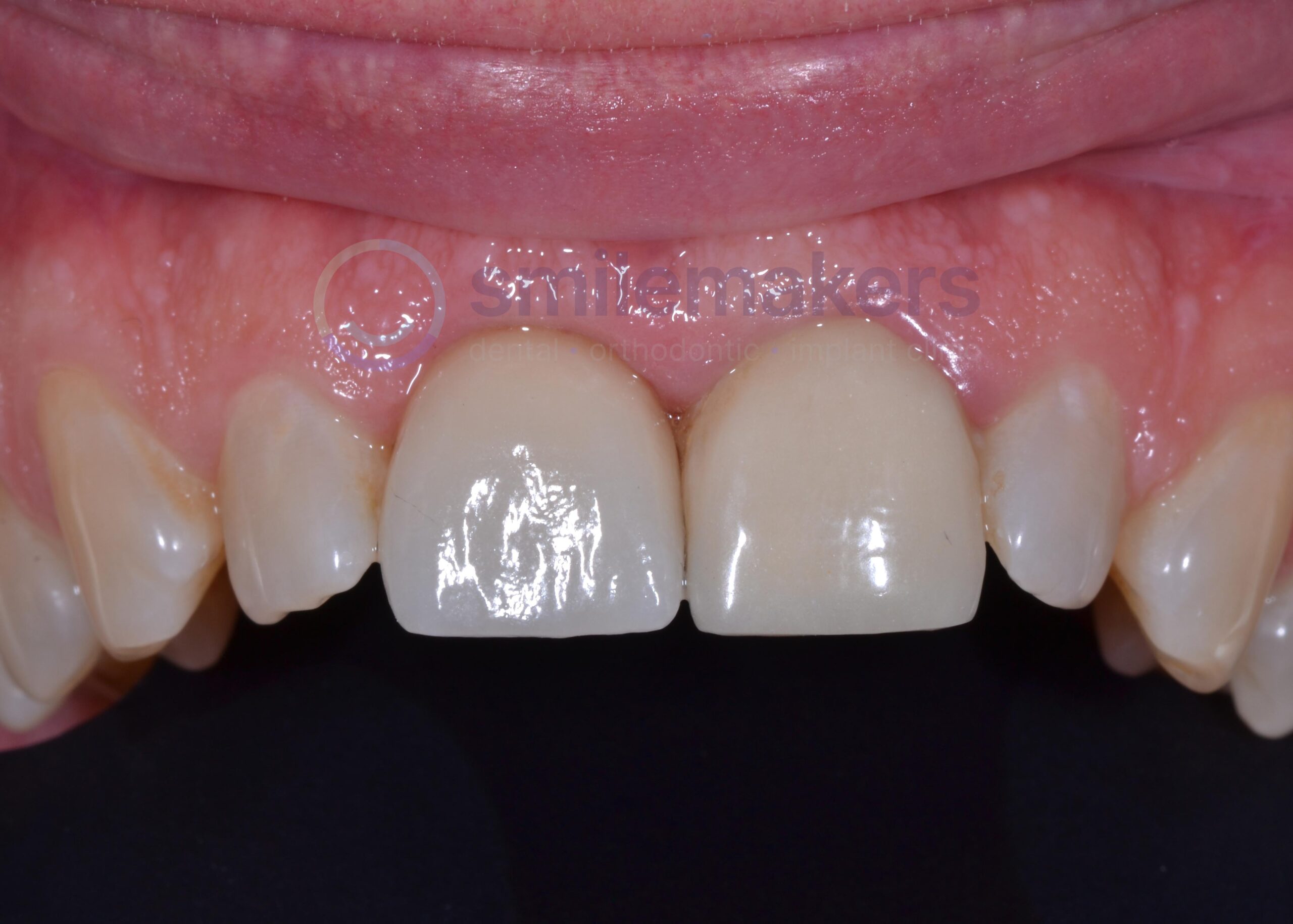
Single Tooth Implant

Having a single dental crown attached to an implant is a quick and painless way to replace a single tooth. It is often the perfect solution if:

Immediate implants

A dental implant can be placed at the same time that the tooth is lost. This is called an ‘immediate implant’ and has the main benefit of being faster than traditional treatment.

If you know you need to have a tooth extracted, or have just lost a tooth through an accident (in the last 24 hours), an immediate implant may be the treatment of choice for you. When a front tooth breaks it’s a traumatic experience not just because of the pain; the embarrassment of suddenly having an unsightly gap is something people understandably want to address as soon as possible.

When are immediate implants possible?

There are a few conditions that have to be met to make an immediate implant possible. These include:

If these conditions are met, then it may be possible to carefully extract the root and immediately put an implant directly into the tooth socket.

If the implant is sufficiently secure in the bone we can also put the titanium post in place and put a temporary crown on top. This treatment means that it is possible to come into the clinic with a failed tooth and leave a short while later with a new implant tooth in place.

The temporary tooth will look very natural and stay securely in place until the implant has healed sufficiently to attach the permanent crown.

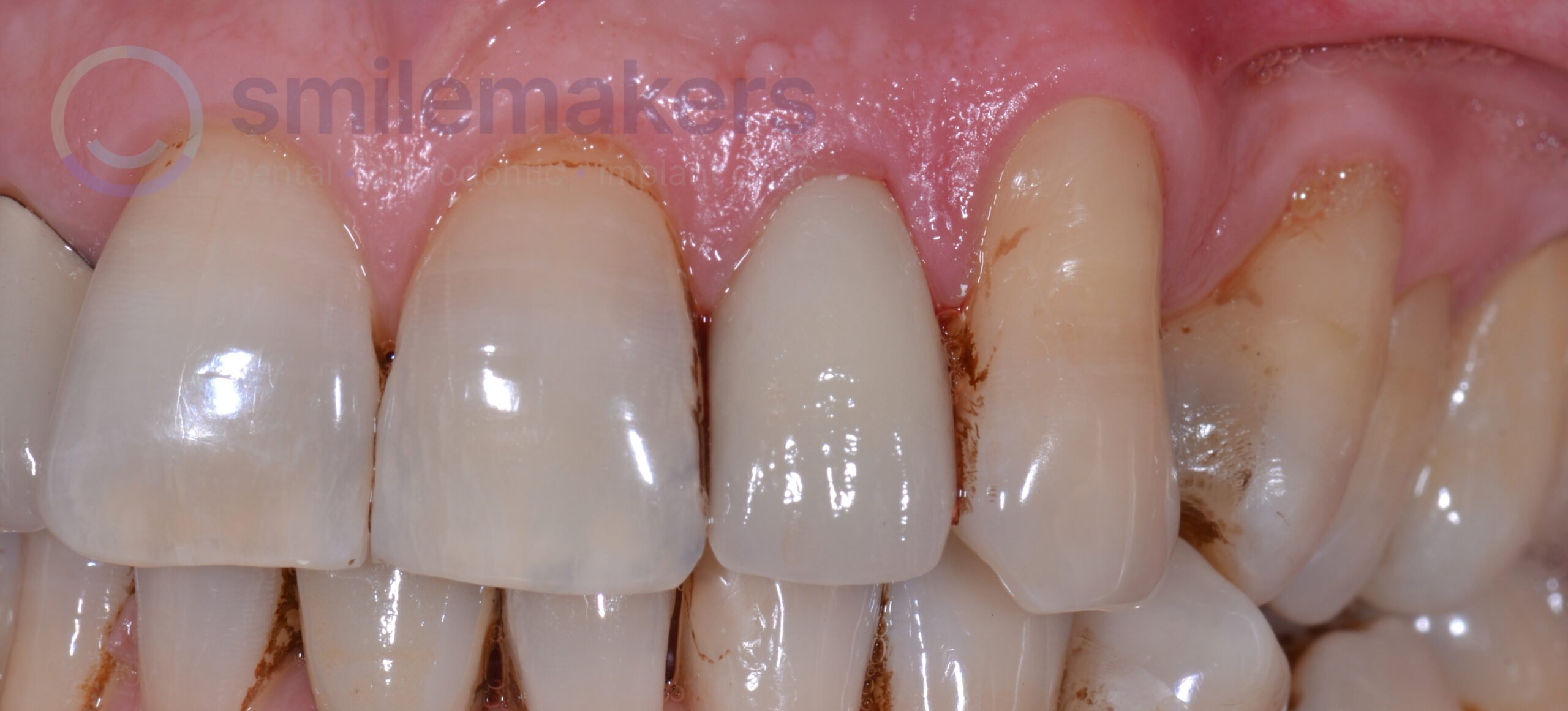
Multiple Teeth Implants

Having a Dental Implant Bridge is one of the most lifelike and natural-looking ways to replace a number of missing teeth. The porcelain teeth fit over a metal structure linked to implants at each end of the bridge, giving a strong and lifelike restoration.

They can be used for anything from 2 teeth to a whole jaw (see all-on-four/teeth-in-a-day), but the real benefit is that because of the nature of the bridge, fewer implants need to be used. Not only does this mean less surgery, it also makes the treatment more cost-effective for patients.

Having a dental implant is usually the best way to replace a failing or missing tooth because it is independent of the adjacent teeth (therefore avoiding any drilling of these teeth) and helps to prevent the bone loss that occurs when a tooth is lost.

Benefit from a free, no-obligation consultation with our Implantologist and discover if you could benefit from this life-changing treatment

pexels-anna-shvets-3845843_compressed

Benefit from a free, no-obligation consultation with our Implantologist and discover if you could benefit from this life-changing treatment.

Book Your Consultation

Contact us today to book your consultation and begin your transformation.