Smilemakers is Rated 5/5 on Google
Smilemakers is Rated 5/5 on Google
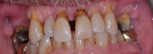
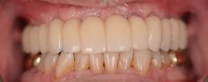
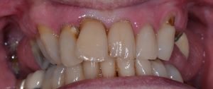
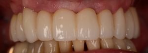
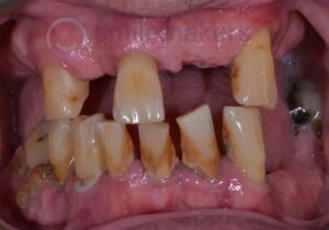
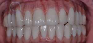
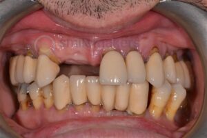
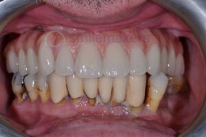
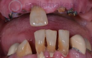
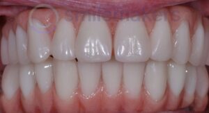
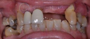
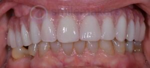
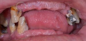
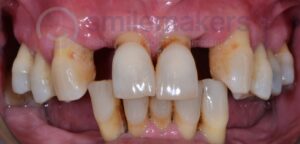
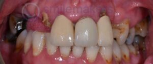
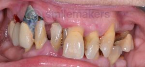
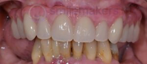
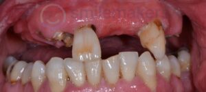
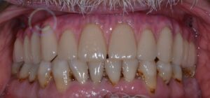
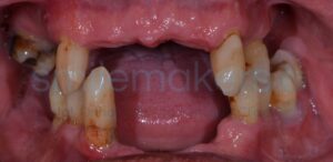
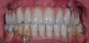
Be you again. Say goodbye to dentures or failing teeth and walk away the same day with your smile and confidence back.
At our dental implants Southampton clinic, we are experts in providing smile-in-a-day treatment that provides a long-lasting solution for replacing dentures or failing teeth with a full set of dental implants in one day.
Teeth in a day dental implants are also referred to as all-on-four dental implants, full mouth dental implants, smile in a day or same day smile implants. Using a one-piece prosthetic bridge your new smile is secured by 4 to 6 high-quality implants per jaw, which allows you to smile, eat and rediscover the old you again!

Deciding to have teeth in a day treatment is a big decision. It is important to choose a clinic that performs a lot of these treatments with success. At Expert Implants, we are professionals in teeth-in-a-day and have performed these treatments for the better part of 10 years with incredible success rates. Many of our patients travel from a long distance to visit the Clinic because of our expertise in this area.
‘’The process isn’t cheap, but you do get what you pay for and there are no hidden costs. If you need to have implants, I would highly recommend Smilemakers for their skills, professionalism and reassurance at all stages of the process.’’












































We provide you with a new smile in a day, take a look at our patient timeline…
Arrive at 8.30am at the dedicated implant suite. Then, under sedation and local anaesthetic, any remaining teeth are removed and the dental implants placed. Each jaw takes about 2 hours.
Relax and recover whilst our expert technician makes your bespoke teeth in our dedicated facilities.
Your new ‘teeth in a day’ temporary bridge is placed. This first set of fixed teeth will be replaced a number of weeks later by your final set.
Teeth in a day has been developed to help a wide range of people who have:
Remember, you deserve better than dentures. Our previous patients couldn’t be happy with the results!
Benefit from a free, no-obligation consultation with our Implantologist and discover if you could benefit from this life-changing treatment.
If you’re looking for an Emergency Dentist in the Southampton area and need an appointment urgently, please visit the247dentist for more information. They’re open 24 hours a day, 7 days a week.
Beaufort House
Hamble Lane
Bursledon
Southampton
SO31 8BR
Designed by Damteq